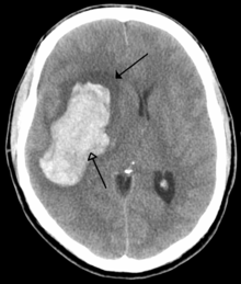
Haemorrhagic stroke is often also known as Intracerebral (Intracranial) haemorrhage. This happens when a blood vessel in the brain ruptures and blood flows into the brain tissue. In western population it accounts for 15 – 20 % of all strokes. In stark comparison in Indian population it accounts for about one third (32%) of all strokes. High blood pressure is the leading cause of bleeding in the brain. The higher prevalence of undiagnosed and uncontrolled blood pressure in the Indian population is thought to be the reason for the higher occurrence of bleeding in brain in this population group.
In comparison to Ischaemic stroke the brain tissue damaged by bleeding into the brain cannot be recovered. Despite this urgent and timely treatment is still extremely important in this kind of stroke. Urgent control of blood pressure within the first 6 hours and administration of clot stabilising drugs during a similar time period has shown to reduce the amount of bleeding in the brain and thus save lives and reduce disability.
